Close up of modern dental cad cam milling machine
verified Laborator Dentar Premium

DC Smile Design –
Elite Aesthetic Lab

Zgjidhje protetike me cilësi të lartë duke kombinuar teknologjinë moderne CAD/CAM me mjeshtërinë tradicionale.

Dental technician working on a digital model
check_circle

Standarte të larta

Garanci e Cilësisë

Duke bashkuar Artin & Shkencën

Rreth Nesh

DC Smile Design – Laborator Dentar i Avancuar (Elite Aesthetic Lab) është një laborator dentar elitar në Marigona Residence, Prishtinë, pjesë e klinikës DOCTOR CEM SMILE DESIGN, i drejtuar nga DOCTORCEM. Specializohemi në restaurime estetike dhe protetikë të nivelit të lartë, duke kombinuar teknologjinë CAD/CAM me mjeshtërinë tradicionale dhe standarde rigoroze të cilësisë për të mbështetur dentistët në krijimin e buzëqeshjeve të përsosura.

Misioni Ynë

Të ofrojmë punime protetike me cilësi të lartë përmes sistemeve të avancuara CAD/CAM dhe mjeshtërisë tradicionale, me fokus të veçantë në protezat totale dhe parciale. Synojmë të jemi një partner i besueshëm për çdo klinikë dentare që kërkon ekselencë në trajtimet estetike dhe funksionale.

Shërbimet Tona

Ne ofrojmë suport në kohë reale dhe një gamë të gjerë shërbimesh dixhitale dhe tradicionale.

Pse të na zgjidhni ne?

Zgjidhni ekspertizën dhe teknologjinë për rezultate të garantuara.

  • check_circle

    Punime protetike me cilësi të lartë

    Garanci për qëndrueshmëri dhe estetikë superiore.

  • check_circle

    Teknologji moderne CAD/CAM

    Përdorimi i teknologjisë më të fundit për saktësi absolute.

  • check_circle

    Zgjidhje të personalizuara

    Qasje individuale për çdo rast klinik.

  • check_circle

    Suport në kohë reale

    Komunikim i vazhdueshëm për të zgjidhur çdo kërkesë.

  • check_circle

    Afate të shpejta dorëzimi

    Efiçencë maksimale në respektimin e kohës tuaj.

  • check_circle

    Materiale premium

    Vetëm materialet më të mira të certifikuara.

Clean modern dental laboratory environment

Angazhimi ynë për cilësinë

Ne përdorim materiale të certifikuara dhe ndjekim protokolle strikte të kontrollit të cilësisë për të siguruar që çdo punim të plotësojë standardet më të larta ndërkombëtare.

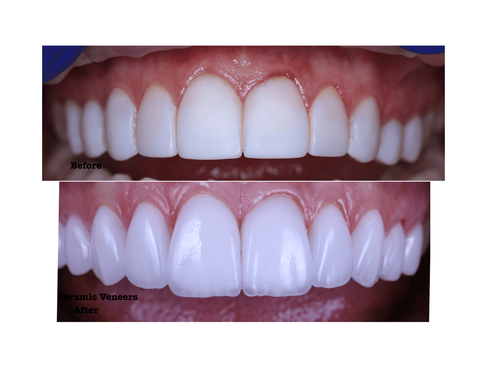
Shikoni punën tonë

Ne kemi krenari për çdo projekt që realizojmë. Shikoni disa nga punimet tona më të fundit që tregojnë cilësinë dhe përkushtimin tonë për perfeksion.

Punim dental 1
Punim dental 2
Punim dental 3
Punim dental 4
Punim dental 5
Punim dental 6
Punim dental 7
Punim dental 8
Punim dental 9
Punim dental 10
Punim dental 11
Punim dental 12
Punim dental 13
Punim dental 14
Punim dental 15
Punim dental 16
Punim dental 17
Punim dental 18
Punim dental 19
Punim dental 20
Punim dental 21
Punim dental 22
Punim dental 23
Punim dental 24
Punim dental 25
Punim dental 26
Punim dental 27
Punim dental 28
Punim dental 29
Punim dental 30
Punim dental 31
Punim dental 32

Galeria e Plotë

Të gjitha fotografitë nga folderat: cerec, foto-web-1-dhe-2, home, home2, home3, implante, inlay,onlay, surgicalguide.

Na Kontaktoni

Na dërgoni një mesazh për çdo pyetje apo bashkëpunim.

Informacion Kontakti

location_on

Adresa

Marigona Residence,
Gračanica, Kosovë

phone

Telefon

+383 46 606 600

Hënë - Premte, 09:00 - 17:00

arrow_upward